2013年临床执业医师实践技能辅导:X线影像练习(2)
更新时间:2013-06-26 12:09:01
来源:|0
浏览
收藏
医学实践技能报名、考试、查分时间 免费短信提醒
摘要 2013年临床执业医师实践技能辅导:X线影像练习(2)
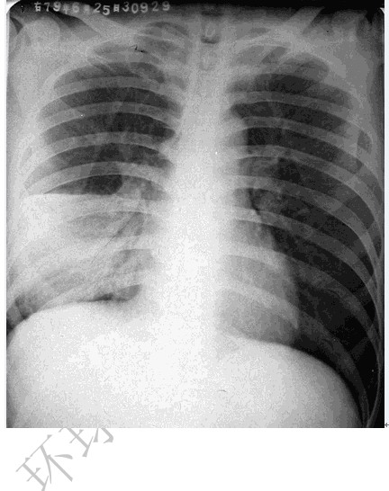
大叶性肺炎
图示为右肺中叶大叶性肺炎
图示为右肺中叶大叶性肺炎
(1)胸部正位 

环球网校医学考试网www.yx24.com
|
专业 |
套餐 |
|
1 |
|
|
2 |
|
|
3 |
|
|
4 |
|
|
5 |
最新资讯
- 2022临床执业医师实践技能考试模拟题:影像学(6分)2021-12-01
- 2022临床执业医师实践技能第三站试题:气管内插管、骨穿2021-11-24
- 2022临床执业医师资格实践技能考试:病例分析实战模拟题2021-11-19
- 2022临床执业医师实践技能精选习题:骨髓穿刺术2021-11-18
- 2022临床医师实践技能考试体格检查模考题:乳房触诊2021-10-25
- 2022临床执业医师资格实践技能体格检查模拟题:肝上界叩诊并测量肝上下径2021-10-23
- 2022中医执业医师实践技能考试病例分析题2021-10-22
- 2022医师资格实践技能体格检查模拟题:心脏视诊2021-10-21
- 2022临床执业医师资格实践技能体格检查模拟题:肺部间接叩诊2021-10-20
- 2022医师实践技能考试病例分析题(10月13日)2021-10-13