临床医师实践技能辅导:胸痛练习
更新时间:2010-05-25 16:54:51
来源:|0
浏览
收藏
临床执业医师报名、考试、查分时间 免费短信提醒
临床医师实践技能辅导:胸痛练习
1. 一位68岁男性患者因“胸痛半小时”来到急诊就诊。患者今早无明显诱因突然出现心前区闷痛,压迫感,向左肩放射,休息有所减轻。昨日也有一次类似发作。既往高血压病10年,服用倍他乐克控制。体检BP160/90mmHg,心率60次/分。ECG见图。
考虑诊断:
A. 急性心肌梗塞
B. 稳定型心绞痛
C. 不稳定型心绞痛
D. 反流性食管炎
E. 心包炎
1. 60岁女性因“胸痛3小时”来诊。ECG如下

考虑诊断:
A. 不稳定心绞痛
B. 急性心肌梗塞
C. 急性心包炎
D. 肺栓塞
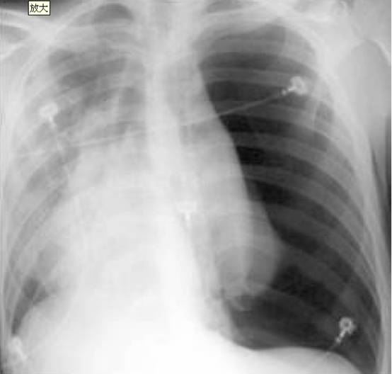
1. 20岁男性因“呼吸困难半小时”来诊,伴有大汗、心悸。胸片如图

考虑诊断:
A. 右侧肺炎
B. 左侧肺栓塞
C. 左侧气胸
D. 右侧肺不张
1. 男性,30岁,因“右侧胸痛伴发热”来诊,T38.8℃,查体右下肺叩诊浊音,呼吸音低,右下后背部可闻及支气管呼吸音,考虑诊断:
A. 右侧胸膜炎
B. 右侧肺叶实变
C. 右下肺不张
D. 右下肺癌
答案:1. C; 2. B; 3. C; 4.B
- 更多信息访问:临床助理医师考试频道 临床助理医师考试论坛 医师博客
编辑推荐
上一篇:临床医师实践技能辅导:胸痛常见病
下一篇:临床医师实践技能辅导:胸痛汇总
最新资讯
- 干货!临床执业医师资格考试50个历年考试要点分享2024-09-16
- 临床执业医师资格考试备考笔记--运动系统(骨肿瘤)2024-09-08
- 临床执业医师资格考试备考笔记--运动系统(骨结核)2024-09-07
- 备考分享:临床执业医师资格考试医学综合考试外科知识点2024-09-04
- 临床执业医师资格考试备考笔记--传染病(细菌性痢疾)2024-09-01
- 临床执业医师资格考试备考笔记--传染病(霍乱)2024-08-31
- 临床执业医师资格考试备考笔记--传染病(伤寒)2024-08-25
- 临床执业医师资格考试备考笔记--传染病(钩端螺旋体病)2024-08-24
- 临床执业医师资格考试备考笔记--传染病(流行性乙型脑炎(乙脑))2024-08-23
- 考前看!临床执业医师资格考试高频考点100个(二)2024-08-15