临床医师实践技能:第二讲练习(2)
更新时间:2010-06-03 16:22:16
来源:|0
浏览
收藏
临床执业医师报名、考试、查分时间 免费短信提醒
临床医师实践技能:第二讲练习(2)
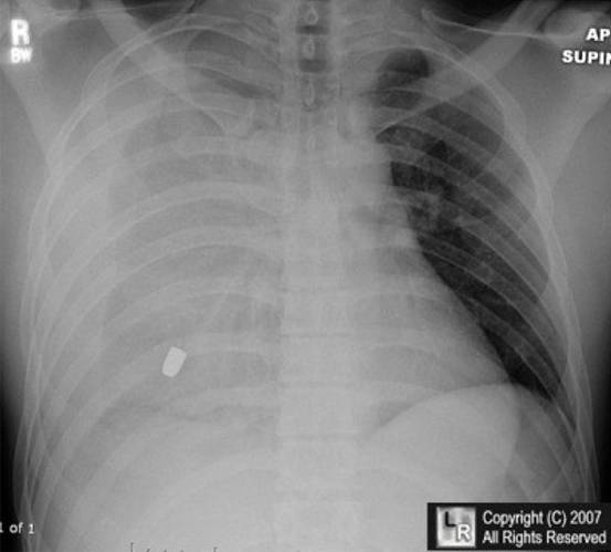
6.男性,24岁,车祸来诊,诉右侧胸痛,胸片如下,考虑诊断:
A. 左侧气胸
B. 右侧血气胸
C. 急性左心衰
D. 右侧肺不张
E. 肺炎
7.30岁男性,“发热3天,胸痛1天”来诊。T39℃,伴有干咳,胸骨后疼痛为针刺样,吸气加重。 ECG如下,考虑诊断:
A. 急性心肌梗塞
B. 急性心包炎
C. 冠脉痉挛
D. 心绞痛
E. 预激综合征

8. 男性,65岁,因“咳嗽伴胸痛2天”来诊,心电图如下:
A. 正常心电图
B. 房颤
C. 窦性心率伴I度房室传导阻滞
D. 房扑2:1下传
E. 房扑3:1下传
- 2010医师考试时间9月11~12日
- 2010医师课程更新进度(6月1日)
- 网校09年医师资格考试辅导通过率
- 2010年医师资格考试四大变革
- 2010年国家医师资格考试简介
- 网校2010年医师资格搜狐访谈实录
编辑推荐
最新资讯
- 干货!临床执业医师资格考试50个历年考试要点分享2024-09-16
- 临床执业医师资格考试备考笔记--运动系统(骨肿瘤)2024-09-08
- 临床执业医师资格考试备考笔记--运动系统(骨结核)2024-09-07
- 备考分享:临床执业医师资格考试医学综合考试外科知识点2024-09-04
- 临床执业医师资格考试备考笔记--传染病(细菌性痢疾)2024-09-01
- 临床执业医师资格考试备考笔记--传染病(霍乱)2024-08-31
- 临床执业医师资格考试备考笔记--传染病(伤寒)2024-08-25
- 临床执业医师资格考试备考笔记--传染病(钩端螺旋体病)2024-08-24
- 临床执业医师资格考试备考笔记--传染病(流行性乙型脑炎(乙脑))2024-08-23
- 考前看!临床执业医师资格考试高频考点100个(二)2024-08-15